Professional Hygiene Care

Looking After Your Gums, Teeth and LongTerm Oral Health

Professional Hygiene Care focuses on keeping your gums healthy, your teeth clean, and preventing future dental problems.It’s one of the most important parts of maintaining a healthy mouth especially if it’s been a while since your last visit. Many patients are surprised by how much better their mouth feels after a hygiene appointment.

NHS and Private Hygiene Care

Hygiene care may be available as part of NHS treatment when clinically required.
Private hygiene appointments allow more time, flexibility, and tailored care.

We’ll always explain your options clearly before booking.

A Simple Step That Makes a Big Difference

Professional Hygiene Care is often the best first step back into regular dental care.
It helps create a healthy foundation for everything else from check-ups to fillings, crowns, or cosmetic treatments.

What Is Professional Hygiene Care?

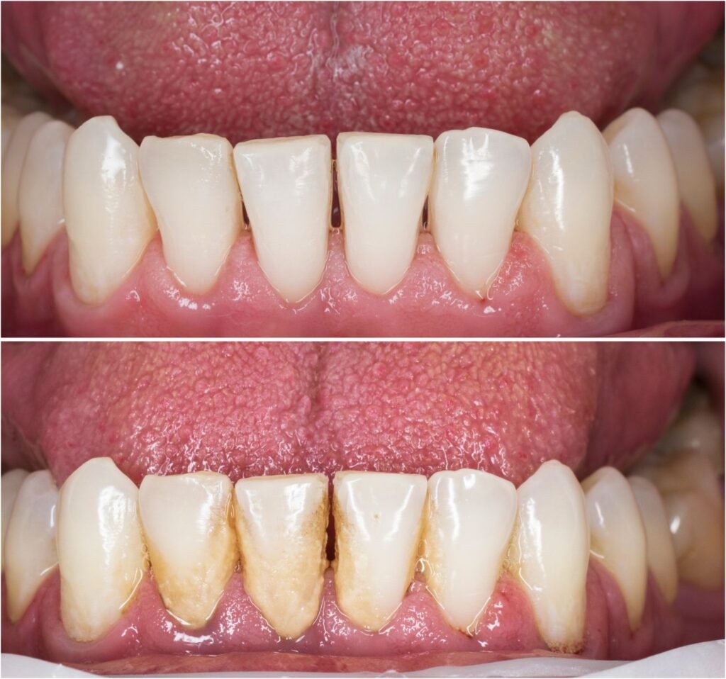
Professional Hygiene Care (sometimes referred to as a “scale and polish”) goes far beyond a basic clean. Your hygiene appointment is designed to: Remove plaque and hardened deposits that brushing alone can’t reach Support healthy gums and reduce bleeding or inflammation Help prevent gum disease and tooth loss Keep breath fresher and teeth feeling smooth Support any dental treatment you’ve had done It’s a key part of long-term oral health.

Why Hygiene Is So Important

Gum disease is very common and often painless in the early stages.Without regular hygiene care, it can quietly lead to: Bleeding or sore gums Bad breathLoose teethTooth loss over timeRegular hygiene appointments help keep gums healthy and protect your teeth for the future.

Is hygiene appointment scary?

You’re not alone. Your appointment is calm and unhurried. It may include: A gentle assessment of your gum health Careful removal of plaque and deposits Advice tailored to your mouth and routine Tips to help you keep your gums healthy at home We explain everything as we go, and you can stop at any time.

NHS and Private Hygiene Care

Hygiene care may be available as part of NHS treatment when clinically required.
Private hygiene appointments allow more time, flexibility, and tailored care.
We’ll always explain your options clearly before booking.

If You Haven’t Had a Hygiene Visit for a While

You’re not alone. Many patients avoid hygiene visits because they: worry their gums will bleed feel embarrassed think it will be uncomfortable Please be reassured our approach is gentle, supportive, and judgement-free. We work at your pace and focus on comfort, especially if it’s been a long time

NHS and Private Hygiene Care

Hygiene care may be available as part of NHS treatment when clinically required.
Private hygiene appointments allow more time, flexibility, and tailored care.

We’ll always explain your options clearly before booking.

A Simple Step That Makes a Big Difference

Professional Hygiene Care is often the best first step back into regular dental care.
It helps create a healthy foundation for everything else from check-ups to fillings, crowns, or cosmetic treatments.

Make An Appointment